Astrositoma

Astrositoma Tumor Otak yang Berasal dari Sel Astrosit

Astrositoma Jenis Tumor Otak Berasal Dari Sel Astrosit, Yaitu Sel Glia Berbentuk Bintang Berfungsi Mendukung Dan Melindungi Sel Saraf Otak. Astrosit berperan penting dalam menjaga keseimbangan lingkungan otak, termasuk mengatur nutrisi dan memperbaiki jaringan saraf yang rusak. Ketika sel astrosit tumbuh secara tidak terkendali, terbentuklah tumor yang disebut astrositoma.

Astrositoma dapat terjadi pada anak-anak maupun orang dewasa. Tingkat keparahannya bervariasi, mulai dari yang tumbuh lambat hingga yang sangat agresif. Karena berkembang di dalam otak atau sumsum tulang belakang, tumor ini dapat memengaruhi berbagai fungsi tubuh, tergantung lokasi dan ukurannya.

Jenis-Jenis Astrositoma

  • Secara medis, astrositoma di klasifikasikan berdasarkan tingkat keganasannya (grade) menurut standar Organisasi Kesehatan Dunia (WHO).
  • Astrositoma derajat I (pilocytic astrocytoma)
    Biasanya tumbuh lambat dan sering di temukan pada anak-anak. Tumor ini relatif jinak dan memiliki prognosis yang lebih baik jika dapat diangkat sepenuhnya melalui operasi.
  • Astrositoma derajat II (low-grade astrocytoma)
    Tumbuh lebih lambat di bandingkan tumor ganas, tetapi dapat berkembang menjadi lebih agresif seiring waktu.
  • Astrositoma derajat III (anaplastic astrocytoma)
    Termasuk tumor ganas dengan pertumbuhan lebih cepat dan membutuhkan penanganan intensif.
  • Derajat IV (glioblastoma)
    Ini adalah bentuk paling agresif dan paling umum pada orang dewasa. Tumor ini tumbuh sangat cepat dan sulit di obati sepenuhnya.
  • Perbedaan derajat ini sangat penting karena menentukan strategi pengobatan serta peluang kesembuhan pasien.

Gejala yang Muncul

Gejala astrositoma sangat bergantung pada lokasi tumor di otak atau sumsum tulang belakang. Namun, beberapa gejala umum meliputi:

  • Sakit kepala yang semakin parah dan tidak biasa
  • Mual dan muntah tanpa sebab jelas
  • Kejang
  • Gangguan penglihatan atau bicara
  • Perubahan perilaku atau kepribadian
  • Lemah pada salah satu sisi tubuh

Pada anak-anak, gejala bisa berupa gangguan keseimbangan atau kesulitan berjalan. Karena gejalanya sering menyerupai kondisi lain, diagnosis yang tepat memerlukan pemeriksaan medis lanjutan.

Penyebab dan Faktor Risiko Astrositoma

Hingga kini, penyebab pasti astrositoma belum sepenuhnya di ketahui. Namun, beberapa faktor diduga berperan, seperti paparan radiasi dosis tinggi di area kepala serta faktor genetik tertentu. Sebagian besar kasus terjadi secara spontan tanpa riwayat keluarga yang jelas.

Penelitian terus di lakukan untuk memahami mekanisme molekuler yang memicu pertumbuhan abnormal sel astrosit. Pemahaman ini diharapkan dapat membantu pengembangan terapi yang lebih efektif di masa depan.

Diagnosis dan Pemeriksaan

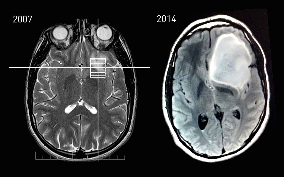
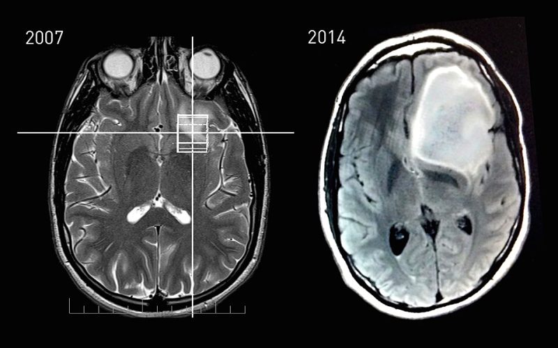
Untuk mendiagnosis astrositoma, dokter biasanya melakukan pemeriksaan neurologis terlebih dahulu. Jika ditemukan indikasi adanya gangguan, pasien akan menjalani pemeriksaan pencitraan seperti MRI (Magnetic Resonance Imaging) atau CT scan untuk melihat adanya massa di otak.

Biopsi, yaitu pengambilan sampel jaringan tumor, sering di lakukan untuk memastikan jenis dan derajat tumor. Hasil biopsi sangat penting dalam menentukan rencana pengobatan.

Pengobatan Astrositoma

Penanganan astrositoma tergantung pada ukuran, lokasi, dan tingkat keganasan tumor. Beberapa metode pengobatan yang umum di lakukan meliputi:

  • Operasi untuk mengangkat tumor sebanyak mungkin tanpa merusak jaringan otak penting.
  • Radioterapi untuk menghancurkan sel tumor yang tersisa setelah operasi.
  • Kemoterapi untuk menghambat pertumbuhan sel kanker, terutama pada tumor ganas.

Dalam beberapa kasus, terapi target dan imunoterapi juga di gunakan sebagai bagian dari pendekatan modern dalam pengobatan kanker otak.

Prognosis dan Dukungan Pasien

Prognosis pasien Astrositoma sangat bervariasi. Pada tumor derajat rendah yang dapat di angkat sepenuhnya, peluang hidup jangka panjang cukup baik. Namun, pada tumor agresif seperti glioblastoma, tantangan pengobatan lebih besar.

Selain penanganan medis, dukungan psikologis dan sosial sangat penting bagi pasien dan keluarga. Menghadapi diagnosis tumor otak bukanlah hal mudah, sehingga pendampingan yang tepat dapat membantu meningkatkan kualitas hidup pasien.

Kondisi ini adalah tumor otak yang berasal dari sel astrosit dan memiliki tingkat keganasan yang beragam. Deteksi dini, diagnosis yang tepat, serta penanganan komprehensif menjadi kunci dalam menghadapi kondisi ini.